特色ある治療

全内視鏡下脊椎手術

全内視鏡下脊椎手術(FESS)について

当院では、最新の低侵襲手術である「全内視鏡下脊椎手術(FESS:Full Endoscopic Spine Surgery)」を導入しています。首から腰まで、脊椎全域の疾患に対して対応可能な内視鏡手術により、患者様の負担を大きく軽減することができます。

全内視鏡下脊椎手術(FESS)とは

全内視鏡下脊椎手術とは、直径約7mm程度の細い内視鏡を用い、最小限の皮膚切開で治療を行う手術法です。主な適応は、腰椎椎間板ヘルニアや腰部脊柱管狭窄症による腰部から下肢への痛みやしびれ、頚椎症性神経根症による頚部から上肢への痛みやしびれです。顕微鏡手術よりもさらに小さな切開で済むため、出血や術後の痛みが少なく、回復が早いのが特徴です。従来の術式だと退院まで1週間から数週を要していた疾患も、全脊椎内視鏡手術であれば数日から、最短翌日に退院が可能です。

対応可能な疾患

• 頸椎椎間板ヘルニア
• 腰椎椎間板ヘルニア
• 腰部脊柱管狭窄症
• すべり症
• その他の脊椎疾患

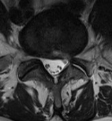
腰部椎間板ヘルニアの手術前MRI画像 矢印は脱出したヘルニアを示しており、神経を圧迫している
手術後のMRI画像 脱出した椎間板ヘルニアは全摘出され、神経の圧迫が解除された。強い左脚の痛みは手術直後から消失し翌日に自宅退院できた。

全内視鏡下脊椎手術のメリット

皮膚切開が小さく、美容的にも優しい

従来4cm〜5cm程度の皮膚切開が必要であった手術も、全内視鏡下脊椎手術では、約7mmの皮膚切開で治療可能です。傷はほとんど目立たず、整容面で非常に優れています。

手術後の創部 7mmの創で手術が完遂できます

筋肉や骨へのダメージが少なく、身体への負担が少ない

従来の手術では、深部に到達するために大きく筋肉を骨から剥がしたり、骨を削ったりする必要があります。一方、全内視鏡下脊椎手術では、ピンポイントで手術を行うため、最小限の筋肉の剥離で済み、組織の損傷が非常に小さく身体に優しいのが特徴です。それによって術中の出血量は最小限に抑えられ、術後の疼痛も小さく抑えられ、また、水中手術であり常に術野を灌流しながら行っているため、術後の感染が非常に少ないことも特徴です。

入院期間が短い(数日から最短翌日)

身体への侵襲が少なく、従来の手術より体の回復が圧倒的に早く、入院期間が短くすみます。疾患によっては、最短翌日で退院可能であるため、早期の社会復帰が可能です。御高齢の患者様でも、早期の退院は、入院に伴う廃用症候群の予防にもなります。

手術の流れ

1.詳細な診察と画像診断(MRI・CTなど)
2.手術適応の判断と十分なご説明
3.内視鏡下での低侵襲手術
4.術後数時間の安静、または短期入院
5.術後フォローとリハビリのご案内

全内視鏡下脊椎手術で対応可能な疾患に限りはあり全ての疾患が対象とはなりません。また従来の手術方法の方が安全で有効である疾患もございます。しかし低侵襲でからだに優しく、良好な手術成績が期待できます。ご不明な点やご相談は、お気軽にお問い合わせください。患者様一人ひとりに最適な治療をご提案いたします。


特色ある治療に戻る